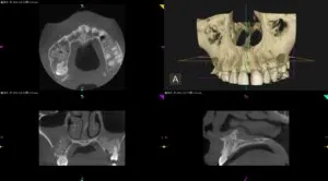
本日12月7日は、日曜日にも関わらず、BTI Japanより、依頼されPRGF(成長因子)のノウハウから臨床応用まで、講義2時間、採血から生成実習、そしてライブOPまで10時から、17時までみっちり仕事をさせて頂きました。兵庫県から参加された先生も居り、有意義な時間を提供しなければいけないと感じ、前日までに講義内容のスライドを何度も見直して完成させました。また、ライブOPも難易度の高い「両側上顎洞挙上術」です。

DM

まさに成長因子という「アプリケーション」を用いると最大限の効果が発揮できる打って付けの題材です。それは、上顎洞内という密室の洞窟には多数の骨を作る細胞が存在し、その組織も成長因子と相性が抜群だからです。手術の内容も、時間も正確に執り行うことができ、安堵しています。

患者様は、先天的部分無歯症で歯列、噛み合わせ、咀嚼障害を訴えています。このようなライブOPをさせて頂き、心より感謝申し上げます。これから治療計画通りに遂行し、苦痛を解決するために最大限の努力をするつもりです。この場を提供させて頂きましたBTI Japanのスタッフと受講生の先生方、当医院のスタッフにも感謝申し上げます。

ヒロデンタルクリニック