<歯肉移植>

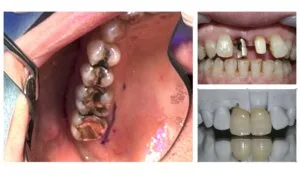
歯肉移植術には何種類かありますが、これは『結合組織移植術(CTG)』と言います。歯肉は3層構造で、中間層の結合組織のみを移植しました。上顎の天井部より、採取して、インプラント埋入時に縫い合わせました。下がってしまった歯肉の回復とボリューム感が蘇りました。もちろん、トップダウンでインプラントポジションをプランニングし、X-Guideで設計通りに埋入、そしてPRGF(成長因子)を用いた再生療法も施しています。どれを取っても世界基準です。
ヒロデンタルクリニック

歯肉移植術には何種類かありますが、これは『結合組織移植術(CTG)』と言います。歯肉は3層構造で、中間層の結合組織のみを移植しました。上顎の天井部より、採取して、インプラント埋入時に縫い合わせました。下がってしまった歯肉の回復とボリューム感が蘇りました。もちろん、トップダウンでインプラントポジションをプランニングし、X-Guideで設計通りに埋入、そしてPRGF(成長因子)を用いた再生療法も施しています。どれを取っても世界基準です。
2026年 (6)
2025年 (16)
2024年 (19)
2023年 (15)
2022年 (15)
2021年 (19)
2020年 (23)
2019年 (46)
2018年 (35)
2017年 (14)
2016年 (7)
2015年 (6)
2014年 (12)
2013年 (1)
2009年 (1)