<上顎洞挙上術>
英名は、サイナス・リフト(Sinus Lift)あるいは、サイナス・フロアー・エレベーション(Sinus Floor Elevation)と言います。上顎の奥歯は、副鼻腔である上顎洞という洞窟が存在し、時々インプラント治療を困難にします。この部位を不用意に抜歯すると、『支柱がなくなったテントのように。』上顎洞は下方へ迫り出し、インプラントを埋入するための、骨を失います。

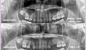
このような場合、上顎側壁よりアプローチを行なって、上顎洞内を底上げし、骨を造り上げる手術を行います。これが上顎洞挙上術です、昨年の12月に2例行い、この4月に評価を行いました。上顎洞内には、骨を造る骨芽細胞が多く存在し、組織工学に則って、①細胞、②成長因子、③骨補填材を配合し、組み合わせた生体材料を補填するのです。

当医院では、PRGF(成長因子)を使用します。これが重要です。PRGFを使用すると、未使用より約1.5倍創傷治癒が速まり、25%ボリュームが増大します。つまり通常は骨になるまで6ヶ月を要しますが、PRGFを使用すると、4ヶ月で造骨しインプラント埋入術が可能です。

そして付け加えます。PRGFは、安全な生体材料であり、痛みを緩和し、感染や炎症から守ります。つまり患者様のQOLを向上させます。
こちらも参考にして下さい。













