綺麗なscallopをつくる(Kr.4476)/その1
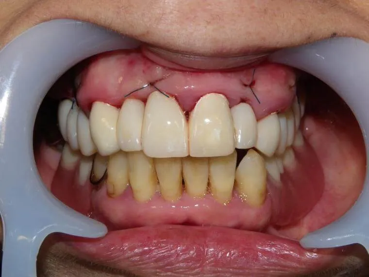
50代、女性、子供の頃から、歯に強いコンプレックスを持っていました。きっと、諦めかけて当医院に来院されました。上あごは、11本歯牙がありましたが、全てグラグラ、保存できません。下あごにも奥歯を6本失って、義歯が入っていました。まずは、ご自分の残っている歯を、そして歯茎を徹底的に健康にすることから始めました。初診から、5ヶ月が経ちました。歯茎が健康になったら、噛み合わせを安定させることも重要なのです。上あご11本中、まったく機能しない歯を6本抜いて、抜いた傷口を温存し、なんとか支えられそうな歯5本で、仮歯(ブリッジ)を本日装着致しました。


患者様と十分話し合い、治療方針を決定しました。上あごに4本、下あご奥歯に5本、インプラントを埋入し、18本分の歯を作り上げる計画を立てました。(to be continued)
ヒロデンタルクリニック














