矯正治療で得た美しい歯列
開業当初は自分で矯正治療ができませんでした。近所の子供達が矯正治療にやってきても、遠くの矯正専門医や大学病院矯正科を紹介するだけでした。つまり、矯正治療を望んでいる患者様は、近所に住んでいながら、時間を割いて、わざわざ通院時間がかかる遠くの矯正専門医へ通院しなければならなかったのです。
自分の浅学さ、無能さ、を痛感しました。こんなことではいけない。一大奮起をして、歯科矯正学を少しずつ学び、習得し、自分で矯正治療を始めるようになったのです。もちろん、矯正専門医が治療した結果と同レベルの質を求めています。そして症例数は100例を越えてきました。今でも一例一例が勉強だと思って取り組んでいますが、一例終了する度に、『あっ、こんなに変わるんだ。』『あっ、こんなに歯列は移動できるんだぁ。綺麗になるんだぁ。』と矯正治療の凄さに驚きを感じます。


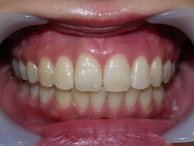
先日、治療を終了した一例です。歯を抜かないで治療しました。如何でしょうか?(30代女性、期間27ヶ月です。)
去年よりインビザライン治療も始め、オプションが増えました。更に学術とテクニックに磨きをかけ精進したいと思います。
ヒロデンタルクリニック














