<歯牙移植とは?>

インプラント治療が普及するとともに、その陰に隠れてしまった治療法である。どんな治療法かというと、親知らずなどの、使われていない歯牙を利用し(ドナー歯)、保存が困難になった歯牙を抜歯、すかさずドナー歯を移植します。もちろん、エビデンスとテクニックが必要です。

実は、歯根に付着している歯根膜には、豊富な幹細胞が存在します。この幹細胞を利用して歯根と母床窩(抜歯窩)を結合させる再生医療なのです。皆さん、IPS細胞(人工多機能性幹細胞)は聞いたことありますね!2012年にノーベル生理学・医学賞を受賞した山中教授が命名したものです。つまりキーワードは『幹細胞』です。
幹細胞とは、細胞分裂をくり返ことができ、様々な細胞に変化する能力を持つ細胞です。再生医療や遺伝子治療に応用されます。

結論:歯根に存在する幹細胞を分化、細胞分裂させることで、ドナー歯と母床窩(抜歯窩)を繋ぎ止める結合組織を構築する。当医院で使用しているPRGFシステムは、細胞分裂を加速させ、その再生に大きな効果を与える。従って、成功率が高い。結びに、歯は噛んで、食物を咀嚼するものです。自分の親知らずを再生し、自分の歯として、使用できます。咀嚼能率も他の歯と違いはありません。インプラント歯は、移動できませんが、移植歯は、矯正治療も可能です。

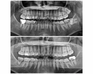
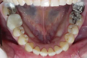
※この写真は、歯牙移植後矯正治療を行い、三年が経過しました。














