<侵襲性歯周病の難症例 / VOL.3>=下顎の治療

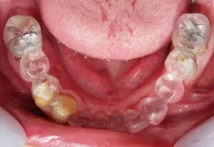
治療中のQOLを考慮し、6ヶ月前後維持できる歯と保存不可能歯を剪定し、5本の支えで仮歯を作り、残りは抜歯と骨造成をしました。もちろんPRGF成長因子による再生医療です。

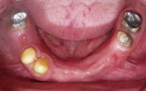
6ヶ月の治癒期間を経て、ラジオグラフィックガイド(正しい噛み合わせと歯冠形態を模写した装置)を装着し、CT撮影、3Dプランニングにて理想的なインプラント埋入位置を設計します。


そして2つのサージカルガイドを作製し、手術しました。術後は、新たな仮歯を作製し、QOLを守ります。

(to be continued)
ヒロデンタルクリニック














