<外傷で前歯を失った症例>
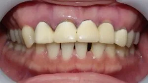
小学生の頃、自転車から転倒し、前歯を失ってしまった。何とかブリッジ補綴により、凌いできましたが、歯周病が進行し、もう限界です。

デジタルソリューションで治療開始します。3Dプランニングにて、インプラントの埋入位置を決定、それをX-Guideにインポートする。抜歯即時埋入術後に、PRGF再生療法で骨造成を行いました。



4ヶ月の待時期間後、iTeroエレメントにてデジタル印象を採得します。

技工士さんと歯の形態を作り上げてゆきます。

そして完成した仮歯がこちらです。

デジタル技術は、患者様と我々術者に多くの恩恵を与えました。粘土様の歯型を採る必要がなく、時間と手間と苦痛を少なくしました。
そしていよいよ最終補綴物が完成します。ジルコニアセラミックは、生体親和性が抜群に良く、そして美しい。歯を隠して笑っていたそんな時代は過去のものになりました。


如何でしたか!最初にデザインした歯冠と最終補綴物の形態がほぼ一致しています。これがデジタルソリューションの真髄ですね!
ヒロデンタルクリニック














